The Tumor of Dumb and a Book Update

The Tumor of Dumb and a Book Update

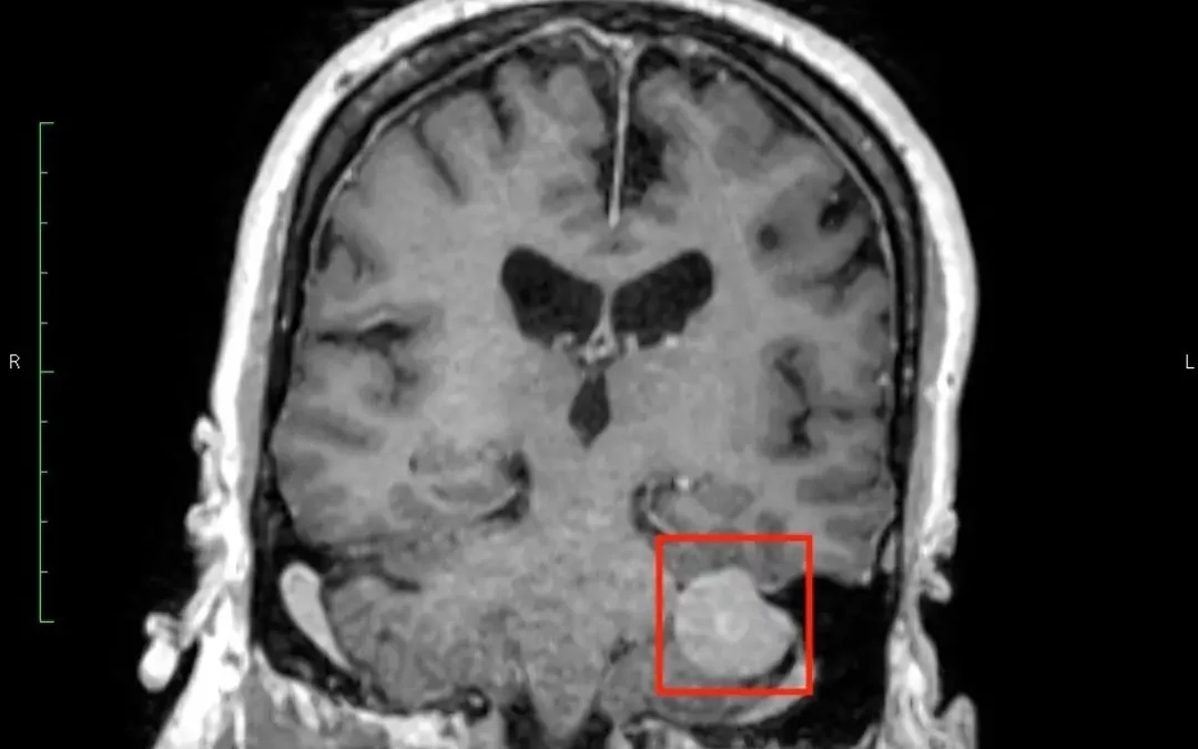
So. This is my brain. That little highlighted blob? Not decorative. There was a tumor sitting on my cerebellum — the part responsible for things like balance, coordination, and generally moving through life like a functioning human. See all the space it was...

2023: The Year I Went to Bed

In 2023, I went to bed. Every year, I struggle with finding the right title or phrase that fits the year. Not this year. In 2023, I went to bed and stayed there. I ate most of my meals in bed. My son visited me… in bed. I got out of bed long enough to shower and...

How I Became an Author

One of the most frequent questions I get asked is “Why does everything happen at 3:13 AM?” The real-life answer to this question has everything to do with how I became an author. First, it’s important to know I’ve had severe panic and anxiety...

2022: The Tortoise Year

At the end of each year, I spend some time reflecting on the closing year and my hopes for the year to come.  If you visited this website before I lost all the content, there were similar posts for 2020 and 2021. Those words are lost now, maybe to be found at a later...

There was a mishap!

There was a mishap!! Yesterday, I spent hours trying to figure out why an email address wasn’t working… and somehow deleted my entire website. After futzing with the backups into the wee hours of the night, I decided to scrap it and start fresh. So, hey...